流山のグランツ歯科クリニックで「よく咬めて違和感が少なくて見た目が良い」テレスコープ義歯の治療を受けませんか?

お問い合わせはこちら

ブログ

流山のグランツ歯科クリニックで「よく咬めて違和感が少なくて見た目が良い」テレスコープ義歯の治療を受けませんか?

2025/05/02

流山のグランツ歯科クリニックでは「ドイツ式入れ歯」のテレスコープ義歯の専門治療が受けられます。

「ボロボロな入れ歯やグラグラな歯」を治して、口元から全身の健康を取り戻しませんか?

当院、グランツ歯科クリニックには、健康保険適用内のバネ式入れ歯を使用して、お口の中がボロボロになってしまった患者様が多数来院されています。その殆んどが補綴難症例ですが、難症例な患者様ほど、テレスコープシステムを用いた入れ歯治療が非常に有効です。

 

バネ式入れ歯では歯を守ることが出来ず、クラスプと呼ばれるバネを掛けている歯から順番に悪くなってしまいます!

 安かろう、悪かろう」で大事な身体の一部分である歯を1本でも失うのは、もうやめにしませんか

 

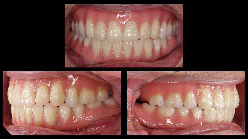
 写真は、歯周病で長く伸びてしまった歯ばかりになってしまった患者様のテレスコープ義歯です。「はめ込み式の入れ歯」である「レジリエンツ テレスコープ」で治療させて頂きました。バネ式の入れ歯ではありませんので、一度得られた歯並び、咬み合わせ、装着感には長期に渡って変化がありません

 

次世代型CADCAMデジタルテクノロジーを駆使した最新式のテレスコープ義歯の専門治療が受けられるのは「グランツ歯科クリニック」です。

一度得た歯並び、咬み合わせ、安定感を長期に渡り変化させません。

※画像の治療:補綴専門医である院長 岡本の治療となります。

岡本の治療担当日は日曜・祝日を除く全曜日です

●上顎・下顎共に レジリエンツ テレスコープ義歯: 約180万円×2床

 (テレスコープ義歯:Co-Cr-Mo合金を使用)

 

「グランツ歯科クリニック」は流山市では唯一、歴史あるテレスコープシステムに最新のデジタル加工技術を応用し、地域の患者様に広く提供させていただいております。

 

当院にはインプラントとテレスコープを用いた入れ歯治療の長期症例が多数あります。既に他院で埋入された昔のインプラントや使用中の義歯も活用できる場合があります。

 

入れ歯やインプラントでお悩みの方は是非、グランツ歯科クリニックに御相談下さい。

 


 

臨床研究協力」または「症例供覧モニター協力」の場合、最大30%Offの治療費用となります。モニターとして治療をご希望される患者様は、詳細を担当ドクターからお伝えさせていただきますので、お気軽にお問い合わせください。(健康保険適用外治療に限ります)

 


 

 

当店でご利用いただける電子決済のご案内

下記よりお選びいただけます。