流山のグランツ歯科クリニックでは「知らない間に銀歯ばっかり」な方でもホワイトニングとセラミックスの専門治療が受けられます。

お問い合わせはこちら

ブログ

流山のグランツ歯科クリニックでは「知らない間に銀歯ばっかり」でもホワイトニングとセラミックスの専門治療が受けられます。

2025/05/31

流山のグランツ歯科クリニックではホワイトニングとセラミックスを用いた「審美補綴治療」が受けられます。

「銀歯ばかりが目立つ」お口をホワイトニングとセラミックスで綺麗に治療して快適に生活しませんか?

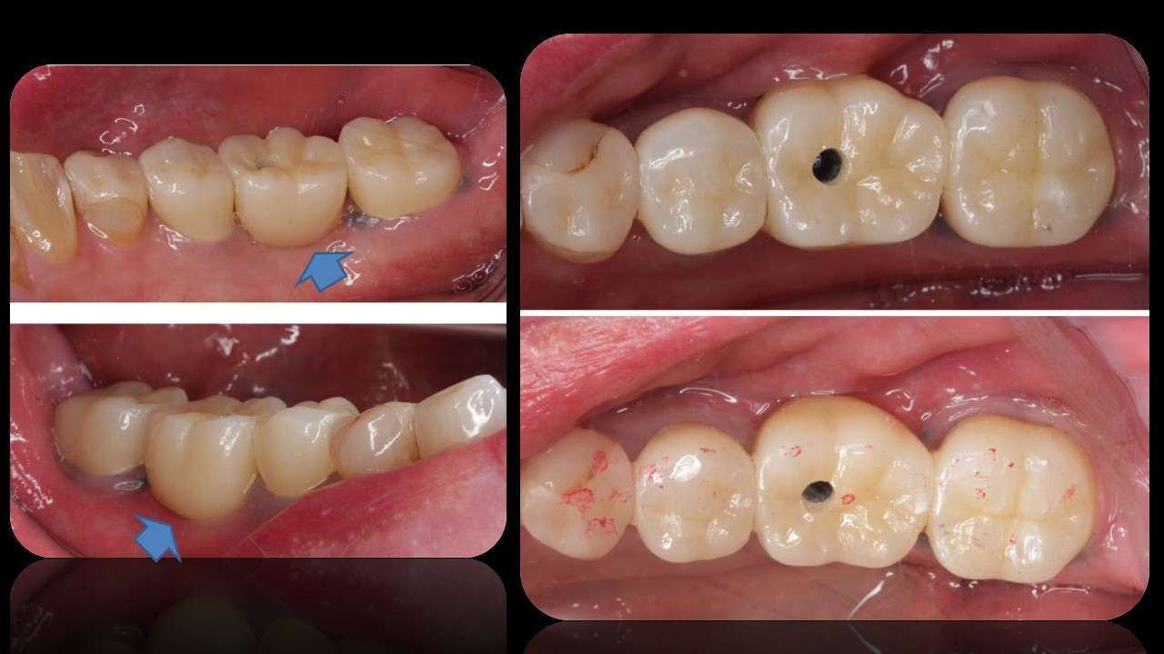
当院、グランツ歯科クリニックには、健康保険適用内のバネ式入れ歯や多数の銀歯を長年使用して、お口の中がボロボロになってしまった患者様が多数来院されています。その殆んどが欠損補綴難症例ですが、難症例な患者様ほど、ジルコニア セラミックスや二ケイ酸リチウムガラスセラミックスを用いた補綴専門医による全顎補綴治療が非常に有効です。

 

バネ式入れ歯では歯を守ることが出来ず、クラスプと呼ばれるバネを掛けている歯から順番に悪くなってしまいます!

 安かろう、悪かろう」で大事な身体の一部分である歯を1本でも失うのはもうやめにしませんか

 

写真は、歯を白くするオフィスホワイトニングをしてから、虫歯の治療の一環としてセラミックス(二ケイ酸リチウムガラスセラミックス:e.max press🄬/Ivoclar vivadent社)を用いて右上2,3番を補綴治療を行なった患者様の症例です。透明感に優れる歯科用セラミックスを使用する為、非常に綺麗かつ機能面での適合性も高い生体材料です。

 

 当院にはセラミックスやインプラント、テレスコープを用いた全顎補綴の長期症例が多数あります。既に埋入してある昔のインプラントも抜かずに活用できる場合がありますので、銀歯や入れ歯、インプラントでお悩みの方は是非、グランツ歯科クリニックに御相談下さい。

 

 

※画像の治療:補綴専門医である院長 岡本の治療となります。岡本の治療担当日は日曜・祝日を除く全曜日です

●右上2,3番 セラミックス冠(e.max press):約165,000万円×2歯分

●オフィスホワイトニング(上下顎6番まで):約44,000円

 

◆総額:約40万円

 

当店でご利用いただける電子決済のご案内

下記よりお選びいただけます。