流山のグランツ歯科クリニックでは「上アゴを覆わない違和感が少ない総入れ歯」の治療が受けられます。

お問い合わせはこちら

ブログ

流山のグランツ歯科クリニックでは「上アゴを覆わない違和感が少ない総入れ歯」の治療が受けられます。

2025/04/15

流山のグランツ歯科クリニックでは違和感の少ない総義歯の専門医治療が受けられます。

上あごを覆う、あの「うざったい」ピンクのプラスチックは無くせます!

当院、グランツ歯科クリニックには、健康保険適用内のバネ式入れ歯や多数の銀歯を長年使用して、お口の中がボロボロ・グラグラになってしまった患者様が多数来院されています。その殆んどが欠損補綴難症例ですが、難症例な患者様ほど、専門医による入れ歯の治療が非常に有効です。

 

バネ式入れ歯では歯を守ることが出来ず、クラスプと呼ばれるバネを掛けている歯から順番に悪くなってしまいます!

  安かろう、悪かろう」で大事な身体の一部分である歯を1本でも失うのはもうやめにしませんか

 

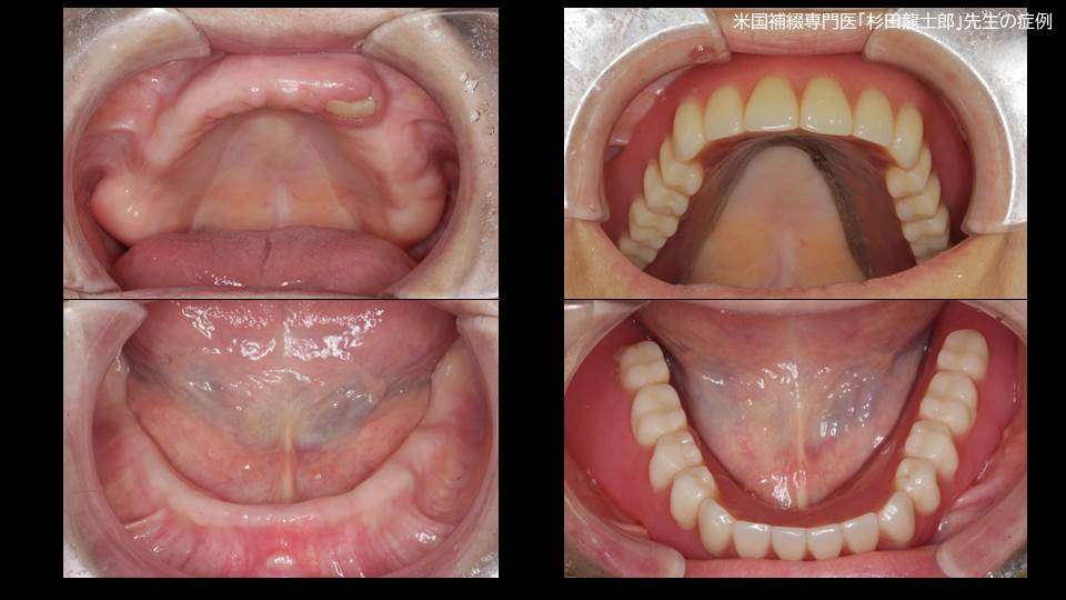
 写真の義歯は、総入れ歯の上アゴ部分を覆っているピンクのプラスチックがどうしても違和感が強く、食事の時と外出する時以外は入れ歯を装着出来ていない状態で、通っているお医者さんからの紹介を受けて当院に受診された患者様です。

 

 上顎は「無口蓋型金属床総義歯」で治療をしました。装着して2年目に入られた患者様の例ですが、健康保険適用の入れ歯とは違い、一度得られた歯並び、咬み合わせ、安定感には変化がありません

 

 当院にはインプラントやテレスコープを用いた義歯治療だけでなく、患者様の要望に寄り添った治療計画を立案し、長期に安定して使用出来ている症例が多数あります。既に他院で治療された昔の義歯やインプラントも活用できます。

 

 入れ歯やインプラントでお悩みの方は是非、グランツ歯科クリニックに御相談下さい。

 

※画像の治療は米国補綴専門医 兼 歯周病専門医」の杉田龍士郎先生の治療です。

(杉田先生の治療担当日は「火曜日となります)

●上顎:無口蓋型 金属床 総義歯 約50万円

 

当店でご利用いただける電子決済のご案内

下記よりお選びいただけます。